
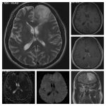
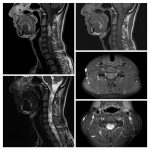
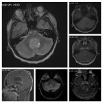
Neurosurgery and neuroradiology always go hand in hand. This little weekly activity is going to enhance the scan reading skills of our audience in an interactive way. Waiting for the answer for a week will keep the curiosity alive and will keep our target audience hooked to the website. It will prove to be a seamless share of knowledge and reading skills.

Dr. Saqib Kamran Bakhshi started the PANS Weekly Image Challenge in 2022, and his creativity and efforts made it a popular activity; engaging trainees and consultants in Pakistan and abroad.







