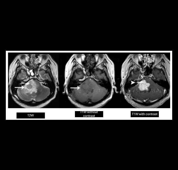
A 29-year-old man with alerted mental status. What is the most likely diagnosis?
- Glioblastoma
- Ependymoma
- Medulloblastoma
- Meningioma
- Schwannoma
Answer:

Dr. Fatima Mubarak | Aga Khan University Hospital, Karachi

Dr. Fatima Mubarak | Aga Khan University Hospital, Karachi